Advanced Technology for Superior Foot & Ankle Care
Shoal Creek Foot & Ankle Center is equipped with cutting-edge technology and advanced diagnostic tools to provide the highest quality care in the Four-State Area. Whether you’re dealing with ankle sprains, Achilles tendonitis, heel spurs, bunions, or diabetic foot pain, our specialists are here to help.
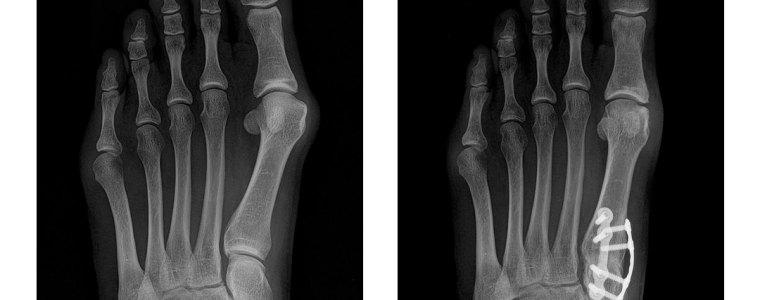
We utilize state-of-the-art treatments, including Lapiplasty®, Radial Pulse Therapy, PADnet®, Digital Radiology, and Swift®, to ensure accurate diagnoses and effective solutions.
Click a link below to learn more about the innovative technology we use to keep you moving.
